Fale Comigo
Whatsapp

imagens

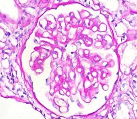
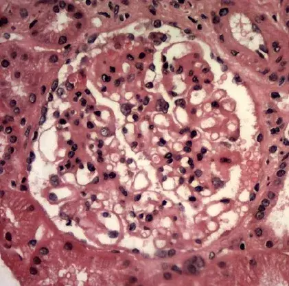
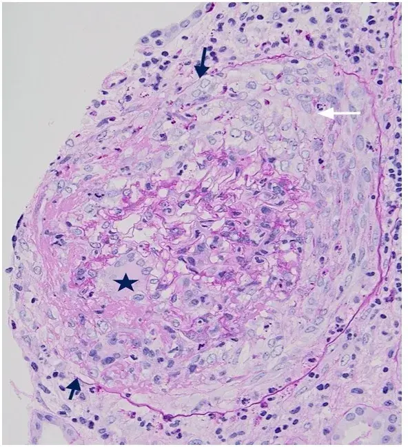
IRA, fadiga e sedimento urinário ativo

Valkercyo Feitosa

2023-05-24

Recomendação de posts Nefroupdates