Hematúria e piora da função renal em pacientes oncológicos representam um desafio diagnóstico e terapêutico. Este caso destaca a importância da investigação detalhada de causas vasculares raras, como a trombose da veia renal, especialmente em contextos de malignidade ativa.
📚 Referência: Fujita Y, et al. Kidney360. 2025. [[link](https://doi.org/10.34067/KID.0000000674)] 🔗
📁 Caso Clínico
Homem de 71 anos com história de diabetes e hipertensão, submetido previamente a nefrectomia total direita e nefrectomia parcial esquerda por carcinoma de células claras. Dois meses antes da admissão, apresentou pielonefrite com pior de função renal progressiva. Foi iniciado tratamento antibiótico, porém cultura de urina veio negativa. A creatinina sérica elevou-se de 1,5 para 6,08 mg/dl, chamava atenção pois o paciente apresentava hematúria e proteinúria.
Exames laboratoriais mostraram D-dímero elevado e sorologias negativas (ANCA, FAN, complemento normal). A biópsia renal não foi realizada devido à nefrectomia prévia.
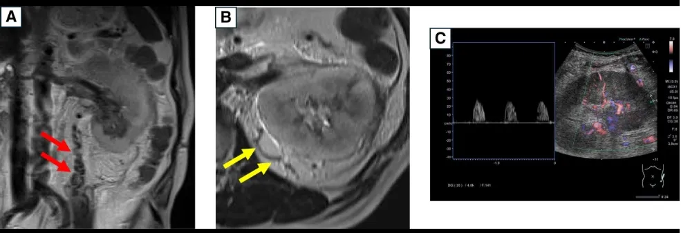
A ressonância magnética (abaixo) mostrou dilatação da veia testicular esquerda e da veia capsular renal. A tomografia computadorizada sem contraste revelou rim esquerdo aumentado, veia renal esquerda dilatada e infiltração perirrenal. Ultrassonografia Doppler mostrou fluxo sistólico isolado nas artérias interlobares, sugerindo congestão renal. Foi confirmado trombose da veia renal com êmbolo na junção com a veia testicular.

Achados de ressonância magnética sem contraste e ultrassonografia Doppler que sugerem trombose da veia renal. (A e B) Ressonância magnética mostrando aumento da (A) veia testicular esquerda e da (B) veia capsular renal. (C) Ultrassonografia Doppler da artéria interlobar mostrando fluxo sanguíneo apenas na fase sistólica.
🔬 Diagnóstico e Evolução
O diagnóstico de trombose da veia renal (TVR) foi estabelecido com base nos achados de imagem. Iniciou-se anticoagulação, com melhora da creatinina para 2,68 mg/dl. Entretanto, oito meses depois, houve recidiva do câncer renal à esquerda, com progressão da trombose, levantando a hipótese de trombose relacionada à malignidade.
📌 Pontos de Aprendizado
• TVR é uma causa rara, mas potencialmente reversível de lesão renal aguda.
• Deve ser considerada em pacientes com câncer renal e hematúria inexplicada. Fica o aprendizado que situações que causam aumento importante da pressão na veia renal (compressão/trombose) pode cursar com proteinúria/hematúria.
• TC com contraste é o exame padrão-ouro, mas pode ser substituído por RM e Doppler em pacientes com disfunção renal.
• A veia testicular esquerda desemboca na veia renal esquerda – sua dilatação pode sugerir obstrução a montante.
⚠️ Quando suspeitar de TVR
• Hematúria e proteinúria sem glomerulopatia evidente.
• Rim aumentado em exames de imagem, sem sinais de neoplasia ativa.
• História de condições pró-trombóticas.